Interventional Neuro Associates is a physician-owned practice serving ten hospitals across New York and New Jersey. Our team of board-certified physicians specializes in stroke management and endovascular procedures, delivering advanced neurological care with minimally invasive techniques.
Our interventional neurology practice offers specialized treatment for stroke patients, minimally invasive aneurysm repair, carotid artery stenosis intervention, advanced neuroimaging with angiography, and emergency thrombectomy procedures, combining cutting-edge technology with expert clinical care.
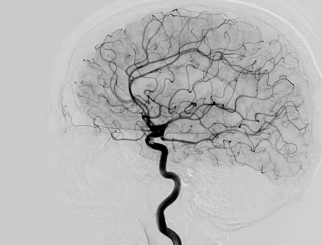
A procedure to gently remove a clot and restore healthy blood flow to the brain.
Minimally invasive options to treat aneurysms and improve blood flow.
Our physicians dedicate themselves to providing quality care by offering the highest level of service, which is why we have a well-deserved reputation for excellence.
Our team of Radiologists and Neurologists is world-class—a group of highly knowledgeable, forward-thinking, and motivated professionals.
Dr. Jeffrey Farkas, M.D., is the founding member of Interventional Neuro Associates and is a Board-Certified radiologist with advanced fellowship training In Neuro Radiology and Interventional Neuro Radiology. With his years of dedicated specialty practice, he is considered one of the most experienced physicians in the field.
Dr. David Turkel-Parrella of Interventional Neuro Associates is a Neurologist who was Board Certified by the American Board of Psychiatry & Neurology - Neurology, 2014
Dr. Clara Boyd M.D., is an ABPN board-certified neurologist and an attending vascular (stroke) neurologist at Interventional Neuro Associates. She is UCNS board-certified in cognitive neurology, subspecialty-trained in vascular neurology, and a member of the American Academy of Neurology.
He saved my life!! I love this Dr so much since 2004 he is still my Doctor no other can replace him now he is treating my family that suffer with brain aneurysm as well we love him!!!! The best!"-
He saved my life!! I love this Dr so much since 2004 he is still my Doctor no other can replace him now he is treating my family that suffer with brain aneurysm as well we love him!!!! The best!"-
He saved my life!! I love this Dr so much since 2004 he is still my Doctor no other can replace him now he is treating my family that suffer with brain aneurysm as well we love him!!!! The best!"-
211 61st St, Brooklyn, NY Brooklyn Appointments: (718) 630-1270
2200 Northern Blvd, suite 207, East Hills, NY (516) 466-1029
211 61st St, Brooklyn, NY Brooklyn Appointments: (718) 630-1270

2200 Northern Blvd, suite 207, East Hills, NY (516) 466-1029

Correspondence Address:
Click Here
General Inquiries:
(201) 387-1957
Interventional Neuro Associates is a physician-owned practice in Ten of New York and New Jersey’s hospitals.
– Correspondence by Snail Mail Click Here